Thông tin cần biết
Thứ Hai, 11/08/2025
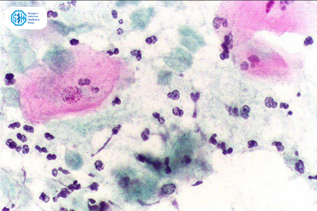
Trùng roi Trichomonas vaginalis: Đặc điểm, cách gây bệnh và môi trường phát triển
Gợi ý cho bạn
Hẹp van động mạch chủ: Triệu chứng nhận biết và biến chứng nguy hiểm thường gặp
Hẹp van động mạch chủ là tình trạng van tim không thể mở ra hoàn toàn, gây cản trở lưu lượng máu từ tim đi nuôi cơ thể. Bệnh nhân thường đối mặt với các triệu chứng điển hình như đau thắt ngực, khó thở và ngất xỉu, đồng thời tiềm ẩn nguy cơ biến chứng suy tim hoặc đột tử nếu không được can thiệp kịp thời.




